Was ist eigentlich Zahnersatz?

Das Thema Zahnersatz ist an sich ein sehr komplexes Thema. Wir haben es uns zur Aufgabe gemacht dieses Thema übersichtlich und vor allem verständlich darzustellen. Die folgenden Seiten vermitteln Ihnen das notwendige Basiswissen, um die für Sie richtige Entscheidung zu treffen. Für komplexere Fragen stehen wir Ihnen selbstverständlich persönlich zur Verfügung.

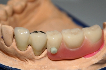
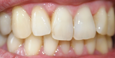
Kronen und Brücken
aus Keramik

Die Natur nachzuempfinden ist sehr schwierig. Dadurch ist jede Krone ein zahntechnisches Meisterwerk, individuell für Sie angefertigt.
Vollkeramik +
Keramischverblendete Kronen +
Monolitische Kronen aus Zirkon +

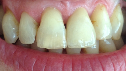
Metallkeramik

Eine Metalllegierung als Gerüstwerkstoff oder auch als vollständiger Zahn, beides hat sich über viele Jahrzehnte bewährt.
Lesen Sie weiter...
Edelmetall +
Nichtedelmetall +

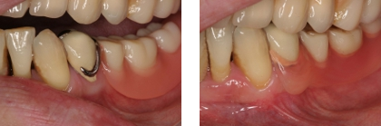
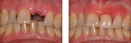
Implantatgetragener Zahnersatz

Egal, ob nur ein Zahn oder mehrere ersetzt werden müssen, Implantate sind vielseitig einsetzbar. Wie hier im Beispiel zu sehen kann nach dem Verlust eines Zahnes an der Stelle der alten Zahnwurzel ein Implantat eingesetzt werden. Dieses Implantat dient als Wurzelersatz für eine Krone, damit die Zahnreihe wieder vollständig ist. Das beschleifen der Nachbarzähne ist dadurch nicht notwendig.
Die Möglichkeiten sind vielfältig. Wir zeigen Ihnen im folgenden eine Auswahl.
Beispiel einer Krone auf einem Implantat +
Beispiel einer verschraubten Implantatbrücke +
Beispiel einer verschraubten Krone auf einem Implantat +
Beispiel einer implantatgetragenen Teleskopprothese +
Planung von Implantaten mit coDiagnostiX™ +

Höchste Präzission mit vorhersagbarem Ergebnis!

Durch den Einsatz modernster Technologien, entwickelt von starken Partnern wie Straumann, wird gewährleistet, dass Sie stets vom Fortschritt unserer Zeit profitieren.
weitere Informationen +

Teleskopversorgungen

Getragen und verankert über Doppelkronen bietet dieser Zahnersatz einen sehr hohen Komfort. Die teleskopierten Zähne können individuell verblendet, also den natürlichen Zähnen in Form und Farbe nachempfunden werden. Dadurch ist dieser Zahnersatz nur schwer von außen erkennbar. Sein fester Halt verleiht seinem Träger ein sicheres Gefühl und schont konstruktionsbedingt auch den Pfeilerzahn.
weitere Informationen +

Prothesen ohne sichtbare Klammern

Der Verlust von Zähnen kann nun fast unsichtbar mit einer Valplastprothese versorgt werden. Auf sichtbare Klammern aus Metall kann dabei komplett verzichtet werden. Valplastprothesen sind angenehm zu tragen, da das Material biegbar ist, somit ist es auch absolut bruchsicher.

Sprechen Sie uns oder Ihren Zahnarzt darauf an:

Perfekt auch für Allergiepatienten und nach dem erhalt von Implantaten

weitere Informationen +

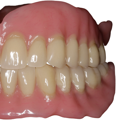
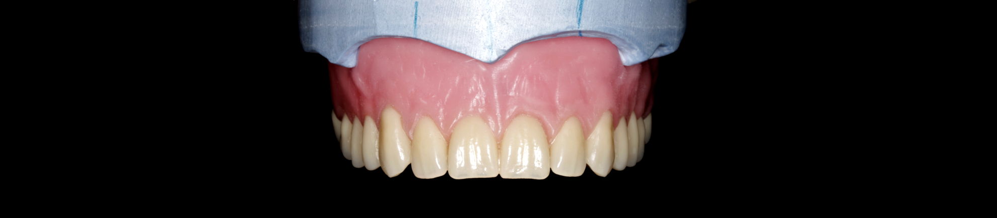
Totalprothesen

Totalprothesen erhalten selbst nach dem Verlust all Ihrer Zähne Ihr gutes Lebensgefühl. Durch die individuelle Aufstellung der Zähne können Totalprothesen so gestaltet werden, das sie kaum von natürlichen Zähnen zu unterscheiden sind. Unterstützt wird dies zusätzlich durch eine individuelle und natürliche Zahnfleischgestaltung.
weitere Informationen +

Titanmodellguss

Unsere Titangerüste werden mit modernster CADCAM-Technik gefertigt. Qualität, Passung und Individualität werden durch die computergestützte Fertigung sichergestellt und perfektioniert. Titan ist das perfekte Material für Allergiker.

Modellgussprothesen

Filigrane, exakt dem Zahn anliegende Klammern aus Metall geben dieser Prothesenart Ihren Halt. Gegenüberliegende Lücken in der Zahnreihe werden durch schmale Metallbänder miteinander verbunden, so dass der Mundraum kaum eingeengt wird.
weitere Informationen +

Riegelprothesen

MINIMALISMUS großgeschrieben

Verriegelt - wie der Name schon vermuten lässt, ist dieser Zahnersatz nicht ohne das Zutun des Trägers zu lösen. Der Riegelmechanissmus garantiert den festen Halt, garantiert!

Die Pfeilerkronen können, wie in diesem Beispiel, keramisch verblendet werden und sind somit ästhetisch optimal an die natürlichen Zähne angepasst. Bei dieser Versorgungsart kann auf sichtbare und unschöne Klammern verzichtet werden.
weitere Informationen +

Unser Tipp für herausnehmbaren Zahnersatz

Hygiene, Reinigung und Pflege...



...die Ihren Zahnersatz nicht nur sichtbar sauber hält, sondern auch tiefengründig! Das kann man denkbar einfach erreichen.

Die Grundlage für frischen Atem ist zunächst einmal das Abbürsten des Zahnersatzes mit einer relativ weichen Bürste und einem speziellen Reinigungsschaum oder einfachem Spülmittel. Damit werden grobe Verunreinigungen entfernt. Zahnpasta eignet sich in der Regel nicht, da abrassive Inhaltsstoffe die Oberfläche abstumpfen lassen. Das ist vergleichbar mit Sandpapier.

Danach sollte der Ersatz für 5 min, jeweils morgens und abends, in ein Ultraschallbad gelegt werden. Ein spezieller Zusatz, welchen Sie über uns kaufen können sorgt dafür, dass Bakterien und Plaque auch an schwer erreichbaren Stellen gründlich entfernt werden. Wichtig hierbei ist der regelmäßige Einsatz.

Diese Produkte sind in unserem Onlineshop erhältlich. www.shop-cdl.de